Русская радиология - Цориев Андрей Эльдарович

Адрес канала: @russrad
Категории: Для взрослых 18+ , Жесть
Язык: Русский
Количество подписчиков: 11.79K
Описание канала:

Врач Андрей Эльдарович Цориев
⛔️Спам, политика, религия, флуд, троллинг, оскорбления = бан ⛔️
…мне можно…
нужна консультация - присылайте dicom в формате .zip
Фото экрана и другие обрезки не консультируем и стираем безжалостно

Рейтинги и Отзывы

1.50

2 отзыва

Оценить канал russrad и оставить отзыв — могут только зарегестрированные пользователи. Все отзывы проходят модерацию.

5 звезд

0

4 звезд

0

3 звезд

0

2 звезд

1

1 звезд

1


Последние сообщения 5

12 авг 2024
Инфекции желчевыводящих путей могут быть вызваны внутренними причинами (холецистит, соустья из-за камней, опухолей, изьязвлений с пенетрациями), а также осложнять вмешательства (рефлюкс-холангит после анастомозов, дренирующих вмешательств, реконструкций протоков, литоэкстракций). Диагноз холангита, в основном, клинический, но могут развиваться и видимые нам проявления: газ в протоках, структурные изменения печени, абсцессы.

Поговорим об этом подробно на семинаре в воскресенье, а Вы задавайте вопросы уже сейчас.
2.2K views인간 人類, 16:17
Подробнее
Поделиться:
Открыть/Комментировать
12 авг 2024
2.4K views인간 人類, 07:43
Подробнее
Поделиться:
Открыть/Комментировать
11 авг 2024
Редкая штука - дивертикул общего желчного протока. Формально - это киста 2 типа по Тодани, но не все исследователи согласны, что это - аномалия, а не приобретенное состояние.
2.5K views인간 人類, 11:53
Подробнее
Поделиться:
Открыть/Комментировать
11 авг 2024
Викторина ниже
2.4K views인간 人類, 07:40
Подробнее
Поделиться:
Открыть/Комментировать
11 авг 2024
Спешите видеть.



Продолжается регистрация слушателей и вопрошателей на живой семинар по МР-холангио(панкреато)графии.
За три часа разберем столько случаев, сколько успеем, торопиться не будем, подробно поговорим о техниках, с учетом производителей томографов, артефактах, ошибках, вариантах строения протоков, разных опухолевых и не очень болезнях.
Опыт огромный, будет круто.
Сделаем запись и она тоже будет доступна.


Цена участия 1600₽

Контакты для записи и для прояснения любых деталей:

+79220235227

russian.radiology@yahoo.com
2.5K views인간 人類, 06:07
Подробнее
Поделиться:
Открыть/Комментировать
10 авг 2024
Запись прямого включения с разбором двенадцатиперстно-печёночного соустья.

Не забываем регистрироваться на вебинар, где будет ещё круче и интереснее (хотя, казалось бы, куда уж)
2.7K views인간 人類, edited  16:35
Подробнее
Поделиться:
Открыть/Комментировать
10 авг 2024
ну что, дорогие друзья, прикольный случай?
2.5K views인간 人類, 16:28
Подробнее
Поделиться:
Открыть/Комментировать
10 авг 2024
Live stream finished (30 minutes)
16:28
Подробнее
Поделиться:
Открыть/Комментировать
10 авг 2024
Live stream started
15:58
Подробнее
Поделиться:
Открыть/Комментировать
9 авг 2024
Продолжается регистрация слушателей и вопрошателей на живой семинар по МР-холангио(панкреато)графии.
За три часа разберем столько случаев, сколько успеем, торопиться не будем, подробно поговорим о техниках, с учетом производителей томографов, артефактах, ошибках, вариантах строения протоков, разных опухолевых и не очень болезнях.
Опыт огромный, будет круто.
Сделаем запись и она тоже будет доступна.


Цена участия 1600₽

Контакты для записи и для прояснения любых деталей:

+79220235227

russian.radiology@yahoo.com
3.1K views인간 人類, 07:55
Подробнее
Поделиться:
Открыть/Комментировать
26 июл 2024
Прастити

Пятничная «музыка» в эфире
1.1K views인간 人類, edited  18:27
Подробнее
Поделиться:
Открыть/Комментировать
24 июл 2024
Будет викторина
2.3K views인간 人類, 19:25
Подробнее
Поделиться:
Открыть/Комментировать
23 июл 2024
Будет викторина
2.5K views인간 人類, 20:40
Подробнее
Поделиться:
Открыть/Комментировать
23 июл 2024
Реаниматологи шутят
3.1K views인간 人類, 14:21
Подробнее
Поделиться:
Открыть/Комментировать
22 июл 2024
2.9K views인간 人類, 14:38
Подробнее
Поделиться:
Открыть/Комментировать
21 июл 2024
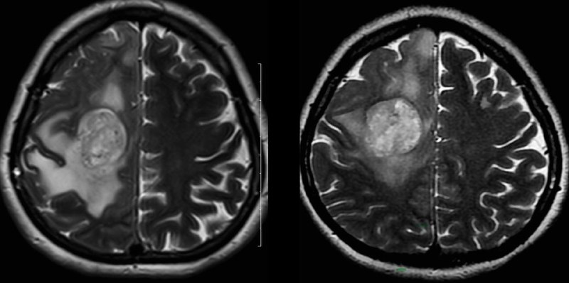
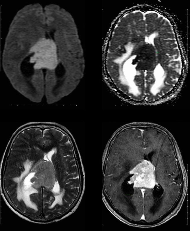
Глиобластома.

Разница в две недели.

Отек стал меньше из-за стероидов.

Но растет быстро, сволочь…

3.3K views인간 人類, edited  18:57
Подробнее
Поделиться:
Открыть/Комментировать
21 июл 2024
Выкладываю лекцию про центральный канал спинного мозга на сегодняшнем конгрессе по нейроонкологии.

Что, правда не дали дослушать?!
2.9K views인간 人類, 12:21
Подробнее
Поделиться:
Открыть/Комментировать
21 июл 2024
Попросили вновь выложить лекцию про центральный канал спинного мозга, выполняю просьбу.
2.9K views인간 人類, 12:21
Подробнее
Поделиться:
Открыть/Комментировать
20 июл 2024
#онлайнсеминар
Продолжаем обучаться онлайн рутинным вещам, которые, чтобы стать рутинными, должны укорениться в памяти и стать привычными.

Для этого предлагаем принять участие в живом практическом занятии, которое пройдет в виде прямого эфира (но будет потом доступно в записи).

«Непростая рутина врача
рентгенолога», практический семинар, 3 часа.

Программа:

1. Оценка возможностей врача рентгенолога по пересмотру исследований, выполненных в других клиниках. Оценка качества исследований.
2. Дифференциальная диагностика онкологической и неопухолевой патологий на примере клинических случаев: применение анализа изображений и сопоставления с ними клинико-лабораторных данных.
3. Подробный разбор КТ- и МР-анатомии живота, позвоночника на клинических примерах.
4. Как мы оцениваем стадии опухолевого поражения почек.
5. Чем отличаются опухолевые и неопухолевые, хоть и патологические, переломы позвоночника?
6. Какие заболевания могут имитировать опухоли на КТ и как при этом не ошибиться?
7. В каких случаях метастазы могут имитировать первичные опухоли и как их отличить друг от друга?

Участие в трансляции позволит:
1. Детально изучить нормальную анатомию на КТ и МРТ, с вариантами строения.
2. Получить представление об алгоритме оценки лучевых исследований рентгенологом.
3. Пополнить свой арсенал врача списком дифференциальных диагнозов опухолевой и неопухолевой патологий.
4. Уточнить и закрепить с целью последующего применения критерии качественного и бракованного исследований.
5. Научиться оценивать особенности контрастирования органов, тканей и патологических процессов на мультифазных КТ.
6. Разобрать и запомнить алгоритм оценки стадий опухолей почек
7. Получить представление об особенностях патологических переломов позвоночника, обусловленных опухолевыми и неопухолевыми поражениями
8. Самостоятельно обнаруживать патологические изменения а КТ/МРТ, интерпретировать, описывать и формулировать выводы по итогам лучевых исследований, используя современные классификационные схемы и клинические рекомендации.

Участие платное - 1300₽

Начало 21 июля 2024 года в 12:30 по Москве.

Регистрация по телефону (пишите в телегу)

+7 (922) 023-52-27

Мария.

По вопросам оплаты и регистрации пишите Марие

+7 (922) 023-52-27
2.3K views인간 人類, 19:56
Подробнее
Поделиться:
Открыть/Комментировать
20 июл 2024
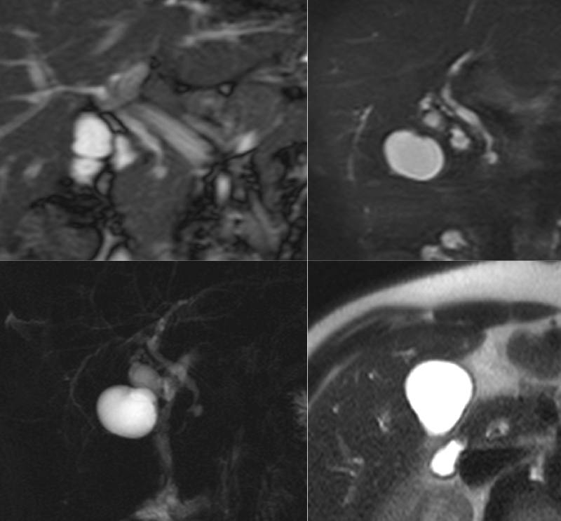
Взяли бы на себя наглость написать параганглиому блуждающего без дифа?
2.9K views인간 人類, 12:43
Подробнее
Поделиться:
Открыть/Комментировать
20 июл 2024
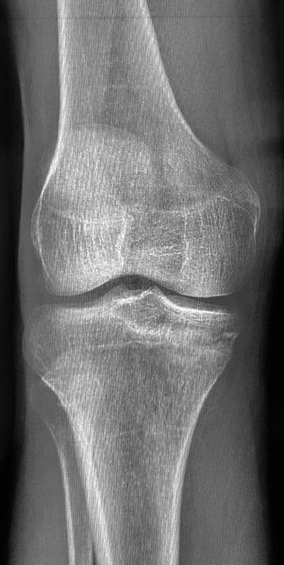
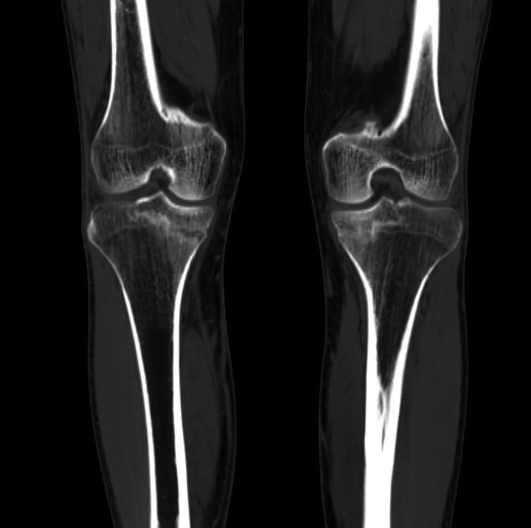
Тот случай, когда на рентгене видно то же, что и на КТ.

Переломы от перегрузки (маршевые, или, как сейчас модно говорить, стрессовые).

Военный, 30 лет.

Видали такое с обеих сторон?
3.5K views인간 人類, 03:47
Подробнее
Поделиться:
Открыть/Комментировать
18 июл 2024
Кто здесь
3.1K views인간 人類, 18:46
Подробнее
Поделиться:
Открыть/Комментировать
8 июл 2024
Русская радиология - КТ МРТ CT MRI pinned « Продолжаем обучаться онлайн рутинным вещам, которые, чтобы стать рутинными, должны укорениться в памяти и стать привычными. Для этого предлагаем принять участие в живом практическом занятии, которое пройдет в виде прямого эфира (но будет потом доступно…»
12:46
Подробнее
Поделиться:
Открыть/Комментировать
8 июл 2024
Русская радиология - КТ МРТ CT MRI pinned «Короче, ребята, все! Больше никаких скринов и видеороликов с целью консультаций на канале. Или диком и подробные жалобы/анамнез, или беспощадное удаление без рассмотрения! »
09:38
Подробнее
Поделиться:
Открыть/Комментировать
8 июл 2024
Короче, ребята, все! Больше никаких скринов и видеороликов с целью консультаций на канале. Или диком и подробные жалобы/анамнез, или беспощадное удаление без рассмотрения!
1.4K views인간 人類, 09:37
Подробнее
Поделиться:
Открыть/Комментировать
7 июл 2024

Продолжаем обучаться онлайн рутинным вещам, которые, чтобы стать рутинными, должны укорениться в памяти и стать привычными.

Для этого предлагаем принять участие в живом практическом занятии, которое пройдет в виде прямого эфира (но будет потом доступно в записи).

«Непростая рутина врача
рентгенолога», практический семинар, 3 часа.

Программа:

1. Оценка возможностей врача рентгенолога по пересмотру исследований, выполненных в других клиниках. Оценка качества исследований.
2. Дифференциальная диагностика онкологической и неопухолевой патологий на примере клинических случаев: применение анализа изображений и сопоставления с ними клинико-лабораторных данных.
3. Подробный разбор КТ- и МР-анатомии живота, позвоночника на клинических примерах.
4. Как мы оцениваем стадии опухолевого поражения почек.
5. Чем отличаются опухолевые и неопухолевые, хоть и патологические, переломы позвоночника?
6. Какие заболевания могут имитировать опухоли на КТ и как при этом не ошибиться?
7. В каких случаях метастазы могут имитировать первичные опухоли и как их отличить друг от друга?

Участие в трансляции позволит:
1. Детально изучить нормальную анатомию на КТ и МРТ, с вариантами строения.
2. Получить представление об алгоритме оценки лучевых исследований рентгенологом.
3. Пополнить свой арсенал врача списком дифференциальных диагнозов опухолевой и неопухолевой патологий.
4. Уточнить и закрепить с целью последующего применения критерии качественного и бракованного исследований.
5. Научиться оценивать особенности контрастирования органов, тканей и патологических процессов на мультифазных КТ.
6. Разобрать и запомнить алгоритм оценки стадий опухолей почек
7. Получить представление об особенностях патологических переломов позвоночника, обусловленных опухолевыми и неопухолевыми поражениями
8. Самостоятельно обнаруживать патологические изменения а КТ/МРТ, интерпретировать, описывать и формулировать выводы по итогам лучевых исследований, используя современные классификационные схемы и клинические рекомендации.

Участие платное - 1300₽

Начало 21 июля 2024 года в 12:30 по Москве.

Регистрация по телефону (пишите в телегу)

+7 (922) 023-52-27

Мария.

По вопросам оплаты и регистрации пишите Марие

+7 (922) 023-52-27
2.2K views인간 人類, edited  16:10
Подробнее
Поделиться:
Открыть/Комментировать
4 июл 2024
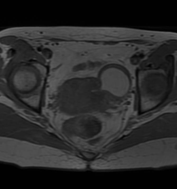
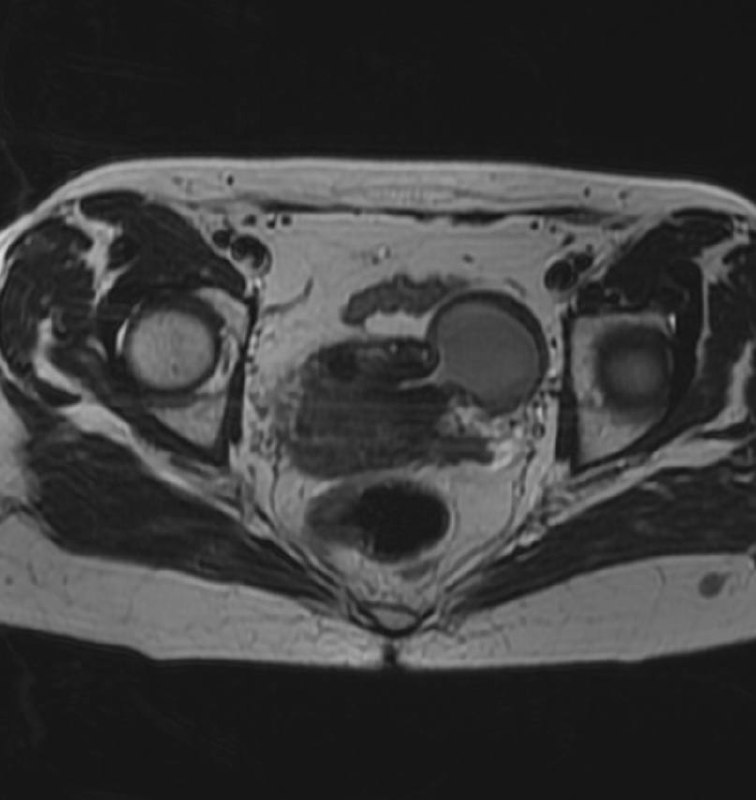
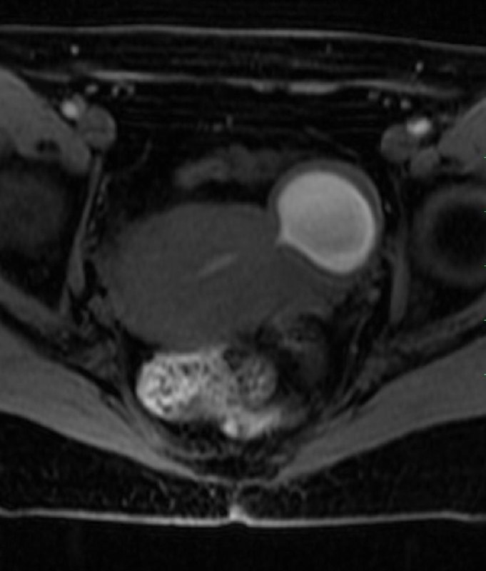
Дивертикул матки у женщины 45 лет.

Дивертикул матки - это редкий врожденный порок развития, вызванный аномальным слиянием мюллеровых протоков.
Диагноз дивертикула матки затруднен, и его часто неправильно диагностируют как другую аномалию Мюллерова протока (например, кровь в рудиментарном роге матки), миому матки с дегенерацией, эндометриому или геморрагическую кисту яичника.

Встречается так редко, что я, вот, первый раз сам увидел, и то, спасибо коллеге из Алма-Аты.

Спасибо, Диас!
3.0K views인간 人類, 13:24
Подробнее
Поделиться:
Открыть/Комментировать
4 июл 2024
Минутка маркеров.

Люди бывают плохие и хорошие, ув. друзья, добрые и злобные, либеральные и консервативные.

Но эти различия ничтожны перед главным:

- Инфантильные или взрослые?


Потому что взрослые умеют разговаривать, слушать, принимать аргументы, возражать, сомневаться и, главное, имеют силы жить сомневаясь.

А инфантилу жить сомневаясь невыносимо, он не вывозит. И поэтому он обязательно должен ВЕРИТЬ кому-нибудь безоговорочно и так же безоговорочно если что хватать себя за уши и голосить "лалала я вас не слушаю городите ерунду".

Эти - безнадёжны.
3.1K views인간 人類, 08:28
Подробнее
Поделиться:
Открыть/Комментировать
2 июл 2024
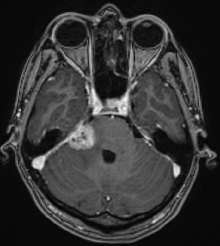
Анапластическая менингиома намета мозжечка справа с оболочечной спинальной диссеминацией у пациента 36 лет.
3.1K views인간 人類, 17:14
Подробнее
Поделиться:
Открыть/Комментировать
2 июл 2024
Conclusion
Gadoxetate disodium showed no difference in acute adverse events compared with ECA in children and adolescents, with further large-scale pediatric studies required to confirm its safety.
RSNA, 2024

Вывод

Гадоксетат динатрия не имел различий в частоте острых побочных эффектов по сравнению с ЭКА у детей и подростков, поэтому для подтверждения его безопасности необходимы дальнейшие крупномасштабные педиатрические исследования.

RSNA, 2024

Таким образом, наметились первые признаки того, что гадоксетовая кислота может быть использована у детей тоже.
3.3K views인간 人類, 21:06
Подробнее
Поделиться:
Открыть/Комментировать