Русская радиология - Цориев Андрей Эльдарович

Адрес канала: @russrad
Категории: Для взрослых 18+ , Жесть
Язык: Русский
Количество подписчиков: 11.79K
Описание канала:

Врач Андрей Эльдарович Цориев
⛔️Спам, политика, религия, флуд, троллинг, оскорбления = бан ⛔️
…мне можно…
нужна консультация - присылайте dicom в формате .zip
Фото экрана и другие обрезки не консультируем и стираем безжалостно

Рейтинги и Отзывы

1.50

2 отзыва

Оценить канал russrad и оставить отзыв — могут только зарегестрированные пользователи. Все отзывы проходят модерацию.

5 звезд

0

4 звезд

0

3 звезд

0

2 звезд

1

1 звезд

1


Последние сообщения

15 янв
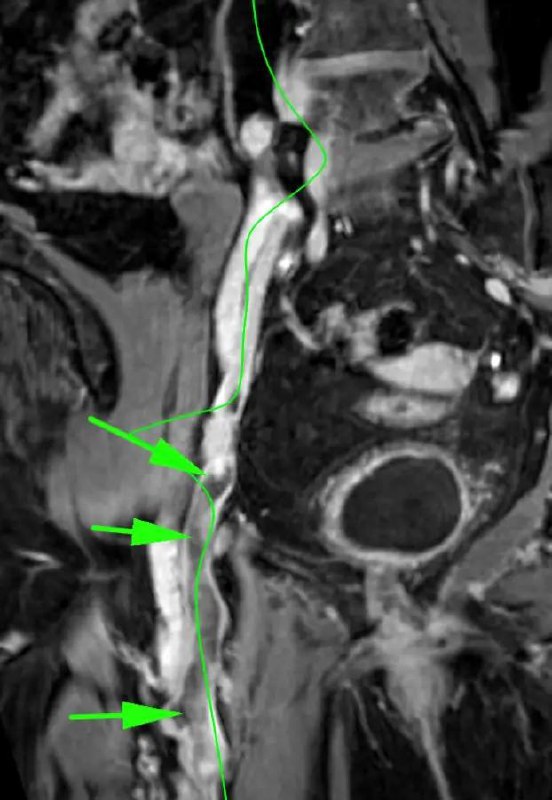
Женщина 87 лет, исследование проводилось по поводу кровянистых выделений из половых путей и наличия крови в моче, помимо недостаточности мышц тазового дна и опущения мочевого пузыря, мочеиспускательного канала, влагалища и прямой кишки было обнаружено светящееся пятно справа походу наружных подвздошных сосудов на диффузии. Так как было проведено ещё дополнительно динамическое исследование с контрастом, было доказано наличие венозного подвздошно-бедренного тромбоза. Кривая время-интенсивность на наружной подвздошной Вене представляет собой прямую (небольшие неровности не в счет, это из-за артефактов). Интересно, что это её никак не беспокоит. Видимо, всё компенсировано, на удивление.
2.04K views10:27
Подробнее
Поделиться:
Открыть/Комментировать
14 янв
Парень 14 лет. Около 2 недель назад - травма при игре в футбол.

Отслойка хряща - это отделение суставного хряща в месте прикрепления от подлежащей субхондральной кости, считается хирургической патологией с риском значительного нарушения функции, если оно не распознано и не лечено должным образом.

Для аргументации в пользу верности собственного мнения приводится картинка из свободно доступной публикации.
2.44K views17:04
Подробнее
Поделиться:
Открыть/Комментировать
13 янв
Замечаете такие?

Описываете такие?

Выносите в заключение?
2.78K views16:31
Подробнее
Поделиться:
Открыть/Комментировать
13 янв
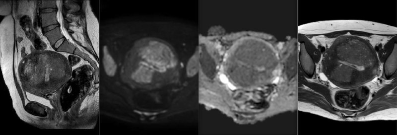
Очень интересные проявления в матке: видно, что имеется выраженный, диффузный аденомиоз, но какие-то узловые включения, ограничивающие диффузию и практически не накапливающие контраст. Это – результат перкутанной эмболизации, думали, что миом матки. Пациентка страдала маточным кровотечением.

Развившиеся после процедуры участки некроза в стенках матки находятся в состоянии цитотоксического отёка и не накапливают контраст. Без знания анамнеза угадать, что это, практически, невозможно, особенно при отсутствии соответствующего опыта. Снимки и прислали с вопросом: это что такое злое в матке, но не накапливает контраст? Хорошо, что анамнез сообщили.
2.89K views10:53
Подробнее
Поделиться:
Открыть/Комментировать
10 янв
Так вот, ув. друзья. За эти три года, коль скоро я дал миллионам ув. современников столь блестящую фору и могу служить «контрольной группой» — так вот, за эти три года должны были возникнуть если не миллионы, то тысячи, а если не тысячи, то хотя бы сотни рассуждателей, далеко опередивших и вашего покорного, и всех прочих ветхих профи с помощью своих ИИ-фамильяров.
Этого, однако, не произошло. На нашем небосклоне не загорелись ни тысячи, ни сотни, ни даже десятки новых суперинтеллектуалов: сияют отдельные новые звёзды, появившиеся естественным биографическим путём. Продолжают сиять умы, сиявшие раньше (часть из них пользуются ИИ как продвинутым поисковым инструментом). Иные гаснут, умерев или сойдя с дистанции. Но ни одного AI-improved гения не возникло.

Отчего фамильяр оказался столь впечатляюще нерезультативен? Как представляется — всё оттого же: он хорош в лишении людей усилий, но он не хочет (или, вероятно, по определению не в состоянии) их стимулировать.
Я часто повторяю, что хороший вопрос содержит в себе в некоторой форме ответ, которому остаётся только раскрыться. Но то же верно и относительно плохих вопросов: они содержат в себе плохие ответы, и поэтому диалог нейрозомби с роботом обречён проходить по известной логике «хрень на входе — хрень на выдаче».

В свете сказанного рискну предложить, ув. друзья, рассматривать роботов не как аналог джиннов и не как псов-демонов из «Огнива», бегающих за нас по делам и обеспечивающих за нас суперрезультативность, а как аналог веществ.
Я имею в виду буквально смесь хмурого с кокосом, «расслабляющий стимулятор», гасящий личность в обмен на приятное чувство избавления от забот.
3.59K views18:09
Подробнее
Поделиться:
Открыть/Комментировать
10 янв
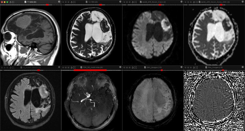
Второй раз в жизни вижу: массивный инфаркт с геморрагической трансформацией полтора года назад, из-за окклюзии левой внутренней сонной артерии. Массивная энцефаломаляция в бассейнах левых передней и средней мозговых артерий, и посреди этого грубого кистозного глиоза - почти идеально шаровидная хроническая инкапсулированная гематома. Внутри неё смесь производных гемоглобина, в центре растворимых и без клеток (гемихром, чуть-чуть, видимо, гемосидерин, немного, раз чуть гипер на т1 есть, внеклеточный метгемоглобин), но чёрный сигнал на Т2 объясняется не производными гемоглобина (иначе сигнал бы был низким и на SWI, чего мы не наблюдаем), а высоким содержанием белка. То есть, парадоксальным образом, время Т2 - короткое (отсюда низкий сигнал на T2W), а время Т2* - относительно длинное! То есть, в центре гематомы - белок, что приводит к черноте на Т2, как бывает, например, в белковых кистах кармана Ратке или почек, но эффекта магнитной восприимчивости с выпадением сигнала на SWI нет! Точнее, он есть, но только в капсуле, где, закономерно, в хронической гематоме всегда есть гемосидерин.

Такая гематома образуется, потому что вокруг в грубой энцефаломаляции, практически, нет кровообращения и, соответственно, механизм рассасывания гематомы отсутствует.

Да, и диффузия поэтому истинно ограничена, потому что содержимое, как желе: густое и вязкое.

Вы спросите: "А как отличить от абсцесса?" По сути, только по черноте на Т2 и по отсутствию клиники абсцесса. Но тёмным на Т2 абсцесс быть может, по той же причине - много белка и короткое Т2. Получается, что только по отсутствию клиники.

Видали такое раньше?

P.S. В первом подобном случае клиники инфекции тоже не было, и гематома оставалась стабильной на протяжении нескольких лет наблюдения. А картина была идентичной.
3.46K viewsedited  11:53
Подробнее
Поделиться:
Открыть/Комментировать
10 янв
В детском саду на прогулке, с группой идёт воспитатель. Им на перерез выкатывается ёжик.
-Дети кто скажет, кто это?
Все в замешательстве.
- Ну как же? Я вам так много про него рассказывала!
Один мальчик, неуверенно.
- Месенджер Макс?
3.51K views10:32
Подробнее
Поделиться:
Открыть/Комментировать
10 янв
Кратенький разбор присланного ординатором в наш чат случая
3.22K views09:51
Подробнее
Поделиться:
Открыть/Комментировать
30 дек 2025
Я знавал много граждан, которые в определенные периоды жизни неплохо финансово преуспели, но в какой-то момент всё потеряли. Далее их пути расходятся: одни преодолевают упадок и вновь выходят на хорошую финансовую позицию, на этот раз более стабильно. Другие из ямы так и не вылезают и порой вынуждены на старости лет добывать хлеб способами молодых вроде доставки и прочего неквалифицированного труда.

Любопытное отличие этих двух категорий граждан состоит в том, что те, кто смог восстановить и упрочить свое положение, были сами виноваты в провале. А тех, кто восстановиться не сумел, подкосили обстоятельства: кризис, ковид, война, банальное изменение ситуации на рынке и так далее.

Первые всегда говорили: я, мол, дурак, вот здесь сложил почти яйца в одну корзину; вон там допустил нерациональные расходы; здесь решил, что и так нормально работает, зачем что-то улучшать; а в тот момент пошел на неоправданный риск, как будто в казино играю. Вторые же, будучи людьми более умными, всегда приходили к выводу: я всё сделал правильно, а эти перемены предвидеть никто не мог, времена такие, кому сейчас легко.

Быть умным и правым – безусловно, приятно. Но себе и единомышленникам я в новом году желаю всё же быть людьми ошибающимися и счастливыми. Ну а остальные пусть придумывают оправдания, что «кулаки в 1917 тоже так считали», и продолжают делать то, что правильно, но приводит к неудовлетворительным результатам.


С праздничками. Не будем ждать от 2026 года подарков, но постараемся в 2026 году преподнести себе подарки сами. Дед Мороз, безусловно, существует, и то, что им оказался папа или дядя Витя, – ничего не значит. Просто взрослым (теперь это мы) хорошо бы становиться для самого себя Дедом Морозом, а не Гринчем, то есть быть себе лучшим другом, а не врагом. Звучит как неплохой тост.
1.62K views08:37
Подробнее
Поделиться:
Открыть/Комментировать
29 дек 2025
https://vk.com/video-211809391_456239039

Отрывок из наших занятий на курсах по МРТ. Вот так мы и занимаемся: с шуткой, да с прибауткой.
1.94K views15:07
Подробнее
Поделиться:
Открыть/Комментировать
29 дек 2025
Ученые развлекаются в патанатомичке…

Магнитно-резонансная томография (МРТ) с высоким разрешением требует минимальной подготовки тканей, не вызывает искажений тканей и достигает 100 мкм на воксель в человеческом мозге ex vivo9. Однако этот тип МРТ требует 100 часов и не достигает разрешения, необходимого для видимости клеточных деталей.

Нейроанатомия ствола мозга. Репрезентативные поперечные срезы из синтезированного объема FLASH25 на уровне рострального моста и каудального среднего мозга. Увеличенные изображения ствола мозга, медиальной височной доли и переднего мозжечка (в белых прямоугольниках в a–c) показаны в нижнем ряду (d–f). Анатомические детали в этой МРТ с разрешением 100 мкм, далеко превосходят то, что можно увидеть на обычных МРТ in vivo: Amg = миндалина; Cb = мозжечки; CP = ножки мозга; MB = сосцевидное тело; P = pons; SCP = верхние мозжечковые ножки; VTA = вентральная покрышка; xSCP = перекрест верхних ножек мозжечка; Th = таламус.

10.1038/s41597-019-0254-8
2.06K views08:56
Подробнее
Поделиться:
Открыть/Комментировать
28 дек 2025
У автора (В.Г. Мараховский - прим. А. Ц.) этих взволнованных строк (а вернее, у его «внутреннего редактора», эдакого СДВГ-трудоголика, привыкшего торопливо, грязно и грубо считывать месседжи за четверть века профессионального отлова блох) имеется собственная версия.

Согласно ей, существует не одна и не миллион, а четыре книги о самопомощи и достигаторстве.

Книга номер один: «Нормально делай, нормально будет»
Это произведение рассказывает нам о том, что люди и мир вокруг них чудовищно разнообразны; что не всё в жизни поддаётся нашей воле и нашему разумению — но мы не узнаем, что именно поддаётся им, не приложив максимума усилий к тому, чтобы жизнь понять и улучшить. Что в общем случае надо трудиться больше, чем меньше; что экстраординарные результаты даются экстраординарными действиями; что своё дело желательно любить — и тогда оно получится (и наоборот). Что осторожность необходима, пока не переходит в трусость и лень — а отделить первое от последних нам помогает трезвый взгляд на результаты. Что упорство необходимо, пока не становится (само)разрушительным — и снова тщательный честный мониторинг результатов помогает провести границу. Что честность лучше обмана — если это именно честность, а не маскирующаяся под неё капризная гордыня. Что самопознание не алгоритм, а искусство — и это занятие длиною в жизнь. Что наши достижения в первую очередь зависят от того, чему мы искренне служим. Ну и всякие прочие сверкающие банальности.
2.12K views17:38
Подробнее
Поделиться:
Открыть/Комментировать
28 дек 2025
В 2025 году был официально выпущен многопозиционный КТ "Aquilion Rise", способный сканировать во всех трех положениях - стоя, сидя и на лежа. Первый в мире аппарат был установлен
в университетской больнице Кейо, где проводятся текущие клинические исследования.
2.46K views13:54
Подробнее
Поделиться:
Открыть/Комментировать
13 дек 2025
Автор этих взволнованных строк очень-очень давно ведёт разного рода блоги в интернетах. Так вот, констатирую как факт: максимальный отток симпатизантов из числа ув. читателей вызывают публикации, в той или иной форме напоминающие об экзистенциальной необходимости постоянно вкалывать.
Ув. современники в огромном своём и до сих пор не изжитом большинстве всё ещё живут в мире т.н. пенсий и уходов-на-покой. В их головах и душах (я привычно виню в этом XX век, прожравший с третьей космической скоростью не только «плоды прогресса», но и «плоды традиций») всё ещё здравствует противоречащая всем эмпирическим наблюдениям идея, что труд есть своего рода болезнь, поразившая жизнь большинства землян и причиняющая им страдания. От этой болезни в индивидуальном порядке можно вылечиться, правильно Устроившись, а на массовом уровне требуется Правильное Государственное Устройство (читай — такое устройство, при котором для отдельного индивида баланс между «тупить в магазине, пролистывая рилсы», и «отдыхать после тяжкой смены дома за сериальчиком» неумолимо сдвигается в сторону последнего).
Мы, разумеется, не все совершаем грех Давида в полном объёме и именно в его царской форме — но мы живём в мире, где Праздность (ничегонеделание, чилл, лень) имеет статус одобряемого состояния. А это состояние, если описывать его чисто технически, означает «игнорирование должного и возможного быть сделанным под ложными предлогами или вообще без предлогов». Если угодно, это состояние нулевой воли — ибо воля есть овеществлённое самопринуждение — при сохранении сознания.

Нетрудно догадаться, что это очень уязвимая позиция. Свято место пусто не бывает: если в нашем сознании отсутствует наша воля, то наши действия будут продуктом чьей-то ещё воли, прискакавшей занять освобождённое место.
Чьей именно — дискуссии продолжаются уже много поколений: современникам отчего-то приятно думать, что за нас в таких случаях действуют некие «внутренние психические содержания», комплексы там, подсознательные желания и прочее в том же духе. Не знаю, почему ув. современники предпочитают считать себя общежитием коррекционного интерната или кораблём дураков и вообще склонны «приватизировать своих демонов», но сути это не меняет. Первая дорвавшаяся до штурвала обезьяна может вывернуть его так, что корабль наш, на котором капитан задембелевал, налетит на что-нибудь — и вряд ли это что-нибудь будет огромным тортом со сливками.
Поэтому трудолюбие (если мы вообще не собираемся хоронить себя по собственной воле ни в 45, ни в 55, ни в 75) в любом возрасте следует рассматривать как необходимое условие продолжения существования в виде личности. Наша ли собственная воля стоит на капитанском мостике или Божья, как мы её понимаем — они в равной степени предостерегают нас от праздности.

Ув. В.Г. Мараховский.
2.06K viewsedited  16:50
Подробнее
Поделиться:
Открыть/Комментировать
13 дек 2025
картинку классную нашел, когда искал, что это такое. Остановился на субэпендимоме (но может быть и нейроцитома, и менингиома, по структуре на неё больше всего похоже, но, вот, расположения у менингиом такого не смог найти). Клиники нет (женщина 38 лет), если расти не будет, то никогда и не узнаем, что это такое.
2.09K views14:23
Подробнее
Поделиться:
Открыть/Комментировать
12 дек 2025
Посетители пациентов! Будьте взаимно вежливы!

Иначе можете сами стать пациентами, или теми, кого надо будет посещать с передачей.
2.43K views15:15
Подробнее
Поделиться:
Открыть/Комментировать
11 дек 2025
38400 -> 11673 -> 1600 -> 438

Но Вы же не оставите меня?

2.53K views20:06
Подробнее
Поделиться:
Открыть/Комментировать
11 дек 2025
Женщина 73 года, головная боль, головокружение, шум. Левый глаз слезится , боль, ниже зрение стало, со слов «глаз выходит из орбиты»

Есть выпадение сигнала из-за ускорения потока в кавернозных синусах, больше слева, отёк наружных мышц левого глаза и клетчатки левой орбиты, левосторонний экзофтальм: картина характерна для каротидно-кавернозного соустья слева, рекомендуется КТА или срапзу консультация рентген-хирурга с решением вопроса о выполнении прямой ангиографии
2.51K viewsedited  19:59
Подробнее
Поделиться:
Открыть/Комментировать
11 дек 2025
Находясь в жопе, ты можешь сделать две вещи. Во-первых — постараться понять, почему ты в ней находишься. Во-вторых — вылезти оттуда… Вылезти из жопы надо всего один раз, и после этого про нее можно забыть. А чтобы понять, почему ты в ней находишься, нужна вся жизнь. Которую ты в ней и проведешь.
2.37K views17:00
Подробнее
Поделиться:
Открыть/Комментировать
11 дек 2025
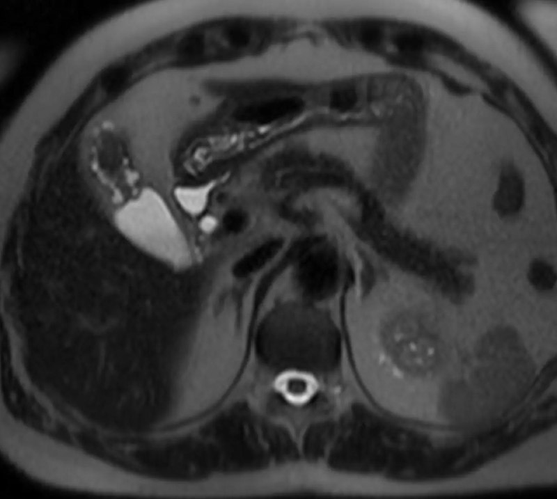
Аденомиоматоз (расширение синусов Ашоффа-Рокитанского, которые представляют собой выпячивания или дивертикулыслизистой оболочки желчного пузыря, расположенные в мышечном слое) желчного пузыря во фригийском колпаке (распространенная, не имеющая клинического значения анатомическая особенность, при которой дно желчного пузыря прилегает к его телу, напоминая мягкий остроконечный колпак средневековья. Обнаруживается при визуализации (УЗИ, КТ, МРТ), не вызывает симптомов и не требует лечения и наблюдения. Впрочем, как и сам аденомиоматоз.
2.58K views14:32
Подробнее
Поделиться:
Открыть/Комментировать
9 дек 2025
На КТ написали абсцессы, но ошиблись. Это кистозные метастазы (точнее, псевдокистозные, за счёт некроза в центре). Истинно-кистозные метастазы будут иметь гладкую стенку, а не такую "зазубренную", как здесь. Причём, зазубренность имеется не только внутри, но и снаружи, за счёт неравномерного роста солидного компонента. Ну и не забываем про "двойной" и "тройной" контуры у абсцессов, особенно на SWI, чего здесь нет (для примера приклею случай с Радиопедии). Ну и, наконец, ключевое отличие: на DWI абсцесс блестит (на б1000), а на карте коэффициента измеряемой диффузии- темный, ибо вязкое густое содержимое (клеточная плотная взвесь, гной - именно она). А здесь все наоборот.

Картинки в Махе
3.04K views18:24
Подробнее
Поделиться:
Открыть/Комментировать
9 дек 2025
Слепошарый…
2.87K views17:18
Подробнее
Поделиться:
Открыть/Комментировать
21 ноя 2025
А вот еще:

По данным Седьмого кассационного По данным Седьмого кассационного суда общей юрисдикции, женщина обратилась в частную клинику с жалобами на изжогу и потерю аппетита. Для уточнения диагноза ей назначили МРТ органов брюшной полости с контрастом. Врач-рентгенолог увидел на снимках признаки полипа в желчном пузыре и направил пациентку к хирургу. Хирург, опираясь на результаты исследования, рекомендовал холецистэктомию — полное удаление органа.
После операции выяснилось, что полипа не существовало. Гистологическое исследование показало отсутствие патологий, а значит, хирургическое вмешательство было избыточным. У женщины ухудшилось самочувствие, появились осложнения, а теперь ей пожизненно требуется заместительная терапия.
"При проведении исследования врач допустил нарушение методики МРТ органов брюшной полости, что привело к неверной интерпретации полученных сканов", — отмечено в определении суда.
Экспертиза подтвердила: ошибка диагноста стала причиной цепной реакции — неправильного диагноза, последующей операции и потери функционирующего органа. Суд признал эти обстоятельства доказанными и возложил ответственность на медицинскую организацию.

суда общей юрисдикции, женщина обратилась в частную клинику с жалобами на изжогу и потерю аппетита. Для уточнения диагноза ей назначили МРТ органов брюшной полости с контрастом. Врач-рентгенолог увидел на снимках признаки полипа в желчном пузыре и направил пациентку к хирургу. Хирург, опираясь на результаты исследования, рекомендовал холецистэктомию — полное удаление органа.
После операции выяснилось, что полипа не существовало. Гистологическое исследование показало отсутствие патологий, а значит, хирургическое вмешательство было избыточным. У женщины ухудшилось самочувствие, появились осложнения, а теперь ей пожизненно требуется заместительная терапия.
"При проведении исследования врач допустил нарушение методики МРТ органов брюшной полости, что привело к неверной интерпретации полученных сканов", — отмечено в определении суда.
Экспертиза подтвердила: ошибка диагноста стала причиной цепной реакции — неправильного диагноза, последующей операции и потери функционирующего органа. Суд признал эти обстоятельства доказанными и возложил ответственность на медицинскую организацию.

Хирург, удаляющий желчный пузырь из-за полипа, не сделав УЗИ?? Шта??
2.05K views14:31
Подробнее
Поделиться:
Открыть/Комментировать
21 ноя 2025
Ревматолог признала свою вину в смерти женщины во время выполнения МРТ-исследования.

По данным следственного комитета, врач владела информацией о том, что 76-летней пациентке был установлен электрокардиостимулятор, но при этом выдала ей направление на выполнение МРТ плечевого сустава. В направлении на исследование информацию о наличии ЭКС врач не указала.

В августе прошлого года пациентка пришла на исследование. По информации следственного комитета, во время исследования у пациентки произошел сбой в работе электрокардиостимулятора и у женщины произошла острая остановка кровообращения с наступлением клинической смерти. Пострадавшую госпитализировали в экстренном порядке, через три дня женщина скончалась в реанимации.

Прокуратура утвердила обвинение по уголовному делу против врача-ревматолога Архангельской поликлиники по статье причинение смерти по неосторожности. Врач свою вину признала.
2.05K views14:27
Подробнее
Поделиться:
Открыть/Комментировать
21 ноя 2025
Bayer трудится над разработкой контрастного препарата, содержащего гадолиний, который содержит значительно меньше гадолиния. Согласно недавним результатам исследования фазы 3 QUANTI, Gadoquatrane использует на 60% меньше гадолиния без ущерба для качества изображении. На данный момент гадокватран достиг как первичных, так и вторичных целей исследования при более низкой дозе без ущерба для качества изображения.

«Как лидер в области радиологии, мы стремимся внедрять инновации в интересах пациентов, включая потенциальные варианты снижения дозы гадолиния. Мы очень довольны положительными результатами исследований QUANTI и с нетерпением ждем возможности поделиться данными с научным сообществом", - сказала недавно в своем заявлении Констанце Дифенбах, доктор медицины, руководитель отдела радиологических исследований и разработок в компании Bayer.

Профили ядерной магнитной релаксации подтвердили более чем в 2 раза более высокую r1-релаксацию в плазме человека для клинически значимых значений магнитного поля от 0,47 до 3,0 T. Комплексная табильность гадокватрана в физиологических условиях была очень высокой. Наблюдаемое высвобождение Gd через 21 день при 37°C в сыворотке крови человека было ниже нижнего предела количественной оценки. Гадокватран не показал высвобождения Gd3+ в присутствии цинка в анализе трансметаллирования. Профиль PK (выведение плазмы, биораспределение, восстановление) был сопоставим с профилем гадобутрола. В МРТ количественная оценка контраста между опухолью и мозгом в модели глиобластомы крысы показала значительно улучшенное усиление контраста с использованием гадокватрана по сравнению с гадобутролом при той же введенной дозе Gd (0,1 ммоль Gd/кг массы тела). По сравнению с гадотератом меглумина аналогичное усиление контраста было достигнуто при гадокватране с дозой Gd на 75% меньше. С точки зрения молекулярной дозы, она была снижена на 90% по сравнению с гадотератом меглумина.
2.47K views00:46
Подробнее
Поделиться:
Открыть/Комментировать
20 ноя 2025
Мужчина 18 лет. Викторина ниже
2.27K views14:03
Подробнее
Поделиться:
Открыть/Комментировать
20 ноя 2025
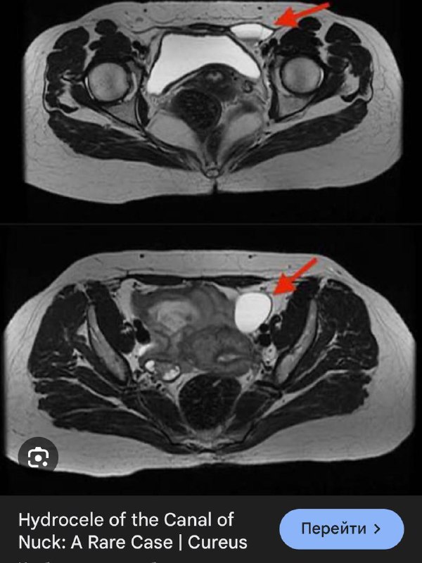
В 1691 году Антон Нук, голландский анатом, был первым, кто описал этот канал, который сейчас назван его именем. Канал Нука является женским эквивалентом вагинального отростка у мужчин, который обычно исчезает в течение первого года жизни. Он состоит из складки, выпячивания брюшины, которая прикрепляется к матке круглой связкой и проходит через паховое кольцо вдоль круглой связки в большие губы. Обычно верхняя часть этого выпячивания обтурируется во время рождения или непосредственно перед ним и исчезает в течение первого года жизни. В редких случаях эта обтурация не завершатся, что приводит к сохранению канала Нука и может вызвать образование женского гидроцеле, а именно кисты канала Нука.

Видимо, в зависимости от того, проксимально или дистально и на каком протяжении просвет канала остается открытым, такой протяженности и локализации и формируется его киста.

В нашем случае, скорее всего, киста сформировалась лишь в проксимальных отделах этого канала, а перегородки и неправильная форма могут служить признаком перенесённых травматизации или воспалений. Клинически никак не проявляется, случайно обнаружена на УЗИ, по всей видимости, потому, что не ущемляется в канале и никак снаружи не пальпируется.

А может это и лимфатическая мальформация. В любом случае, верификация вряд ли будет, но узнать о кисте канала Нука всегда полезно тем, кто о ней никогда не слышал. Пусть эта штука послужит тем замечательным поводом.


Ещё раз хочу увлечь вас тем, что на наших курсах заболевания органов таза разбираются со знанием дела, въедливо, доброжелательно и с огромным числом клинических примеров, как правило, верифицированных. Не отказывайте себе в удовольствии прокачать свою возможность диагностировать любую патологию органов таза у мужчин и женщин, начиная от костно-суставной, заканчивая генитальной и мочевыделительной.

Продолжается запись на курсы по МРТ, которые начнутся в начале декабря.

Контакты для информации:

+79220235227
russian.radiology@yahoo.com

Канал Русской Радиологии в Махе
2.51K views09:44
Подробнее
Поделиться:
Открыть/Комментировать
19 ноя 2025
Мужчина 75 лет. Пса 0,6.

Викторина ниже
2.72K views13:45
Подробнее
Поделиться:
Открыть/Комментировать
18 ноя 2025
При необходимости консультации - присылайте диком в ZIP (не RAR, не 7Z и так далее), картинки и видео удаляются автоматически
3.04K views11:07
Подробнее
Поделиться:
Открыть/Комментировать
18 ноя 2025
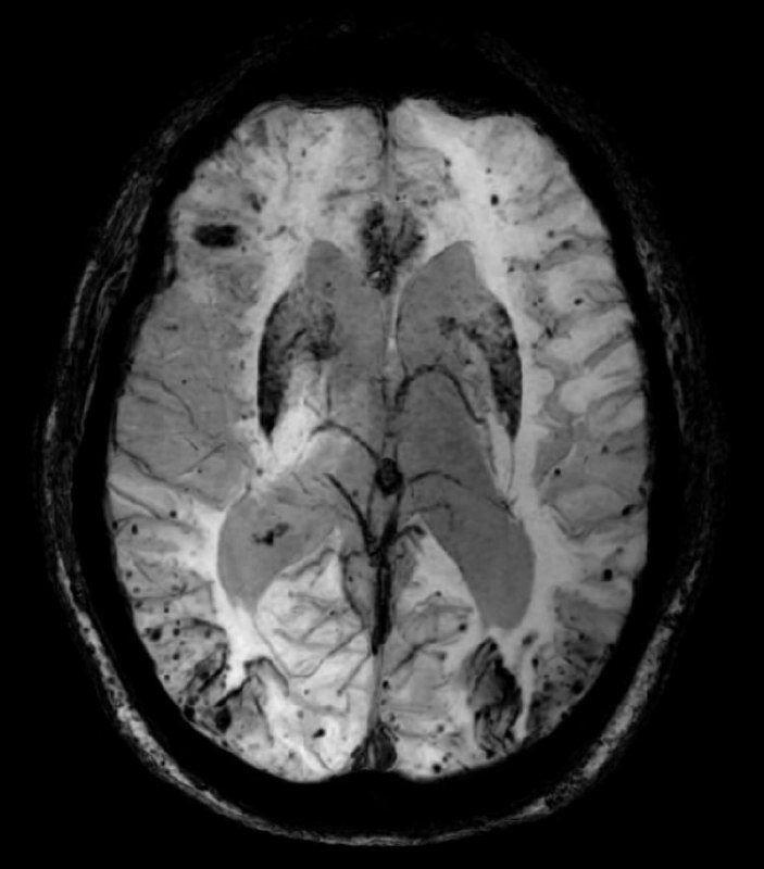
"Красивая" картина церебральной амилоидной ангиопатии у пожилого пациента на SWI (изображения, взвешенные по магнитной восприимчивости):

1. Множественные микрокровоизлияния с периферическим (юкстакортикальным) типом распространения.
2. Мультифокальный поверхностный сидероз ЦНС (пластинчатые, повторяющие контуры извилин участки выпадения сигнала на SWI).
3. Генерализованная церебральная атрофия, которую видно по расширению желудочков и субарахноидальных пространств.
4. Отсутствующие, либо единичные мелкие кровоизлияния в глубоких отделах мозга (стволе, мозжечке, таламусах и покорковых узлах/структурах), что характерно для геморрагической микроангиопатии, вызванной длительно существующей артериальной гипертензией.

О том, что такое SWI, что такое магнитная восприимчивость, и чего к чему, какую уместно использовать терминологию при инетпретации МРТ/КТ у пациента с цереброваскулярным заболеванием с разбором примеров на практике - на наших аккредитационных курсах уже с второго декабря сего года. Кстати, учитывая новый закон о дистанционном образовании, дистанционный вариант может оказаться последней возможностью, а ну как не разрешат с марта 2026? Так что рекомендуем успевать.

Запись на курсы:

+79220235227

russian.radiology@yahoo.com
3.12K viewsedited  11:05
Подробнее
Поделиться:
Открыть/Комментировать