Русская радиология - Цориев Андрей Эльдарович

Адрес канала: @russrad
Категории: Для взрослых 18+ , Жесть
Язык: Русский
Количество подписчиков: 11.79K
Описание канала:

Врач Андрей Эльдарович Цориев
⛔️Спам, политика, религия, флуд, троллинг, оскорбления = бан ⛔️
…мне можно…
нужна консультация - присылайте dicom в формате .zip
Фото экрана и другие обрезки не консультируем и стираем безжалостно

Рейтинги и Отзывы

1.50

2 отзыва

Оценить канал russrad и оставить отзыв — могут только зарегестрированные пользователи. Все отзывы проходят модерацию.

5 звезд

0

4 звезд

0

3 звезд

0

2 звезд

1

1 звезд

1


Последние сообщения 28

15 июл 2021
2.0K views13:36
Подробнее
Поделиться:
Открыть/Комментировать
15 июл 2021
не каждый заметит... Да, может, и верно, особенно в данном случае :)
2.1K views09:44
Подробнее
Поделиться:
Открыть/Комментировать
14 июл 2021
2.2K views06:00
Подробнее
Поделиться:
Открыть/Комментировать
13 июл 2021
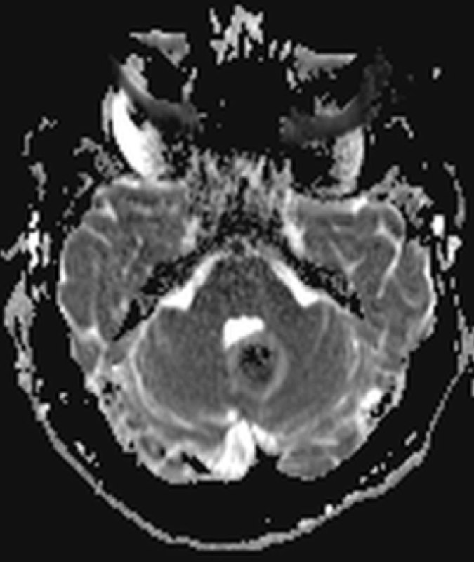
интересный случай! И не менее интересны ваши мнения! Мужчина 74 года.
944 views07:54
Подробнее
Поделиться:
Открыть/Комментировать
12 июл 2021
https://www.dropbox.com/s/jc287uv5x17x0ql/Anonymous_Pelvis_Male_20210406.zip?dl=0 вот интересно, как Вы, коллеги, это проинтерпретируете?
2.2K views13:01
Подробнее
Поделиться:
Открыть/Комментировать
12 июл 2021
LI-RADS рулит, не так ли? :)
2.1K views12:44
Подробнее
Поделиться:
Открыть/Комментировать
11 июл 2021
Раз выходной и некоторые (не я) не работают, то зацените фотАчки увлекался, было дело. А потом появились айфоны… https://www.photoforum.ru/user/10874/photos.0.0.0.date.desc.0.0.0.1.ru.html
2.2K views08:32
Подробнее
Поделиться:
Открыть/Комментировать
10 июл 2021
Нас уже 2 тысячи! Спасибо, коллеги!
299 views18:26
Подробнее
Поделиться:
Открыть/Комментировать
10 июл 2021
Пациент 35 лет. Жалобы на онемение правой руки. Других жалоб нет.
2.2K views08:13
Подробнее
Поделиться:
Открыть/Комментировать
9 июл 2021
876 views09:24
Подробнее
Поделиться:
Открыть/Комментировать
7 июл 2021
https://www.healthimaging.com/topics/ai-emerging-technologies/gadolinium-contrast-ai-software-us-patent

Компания Imaging Biometrics, занимающаяся передовым программным обеспечением для МРТ, получила в США патент на технологию искусственного интеллекта, которая устраняет необходимость в контрастных веществах на основе гадолиния.

Компания Elm Grove, штат Висконсин, дочерняя компания IQ-AI, базирующаяся в Великобритании, сообщила, что ее инструмент IB Zero G выполняет неконтрастное сканирование и выдает синтетические изображения, имитирующие исследование, полученное с помощью GBCA, согласно анонсу от 23 июня. Это автоматизированное программное обеспечение все еще находится на стадии изучения, но оно совместимо со всеми платформами сканеров МРТ, добавили в компании.
2.4K views12:23
Подробнее
Поделиться:
Открыть/Комментировать
7 июл 2021
Cholescintigraphy has the highest diagnostic accuracy of all imaging modalities in detection of acute cholecystitis. The diagnostic accuracy of US has a substantial margin of error, comparable to that of MR imaging, while CT is still underevaluated.

RSNA, 2012
2.0K viewsedited  10:38
Подробнее
Поделиться:
Открыть/Комментировать
7 июл 2021
734 views07:40
Подробнее
Поделиться:
Открыть/Комментировать
7 июл 2021
1.9K views07:40
Подробнее
Поделиться:
Открыть/Комментировать
7 июл 2021
https://www.nature.com/articles/d41586-021-01813-2
2.0K views06:45
Подробнее
Поделиться:
Открыть/Комментировать
6 июл 2021
Он же, через 40 дней.
2.0K views20:07
Подробнее
Поделиться:
Открыть/Комментировать
6 июл 2021
900 views20:07
Подробнее
Поделиться:
Открыть/Комментировать
6 июл 2021
914 views20:06
Подробнее
Поделиться:
Открыть/Комментировать
3 июл 2021
488 views10:17
Подробнее
Поделиться:
Открыть/Комментировать
2 июл 2021
А давайте, дорогие коллеги, и здесь порассуждаем, что это может быть. Аналогичные снимки опубликованы в Instagram, туда тоже можно посмотреть, и сформулировать собственное аргументированное мнение.
2.0K views20:32
Подробнее
Поделиться:
Открыть/Комментировать
2 июл 2021
В вот вы отказали себе в участии, а зря
1.9K views20:30
Подробнее
Поделиться:
Открыть/Комментировать
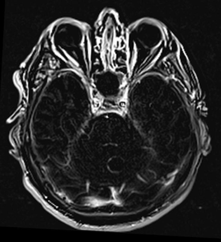
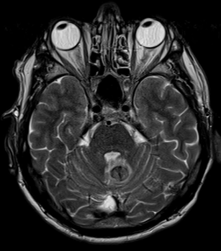
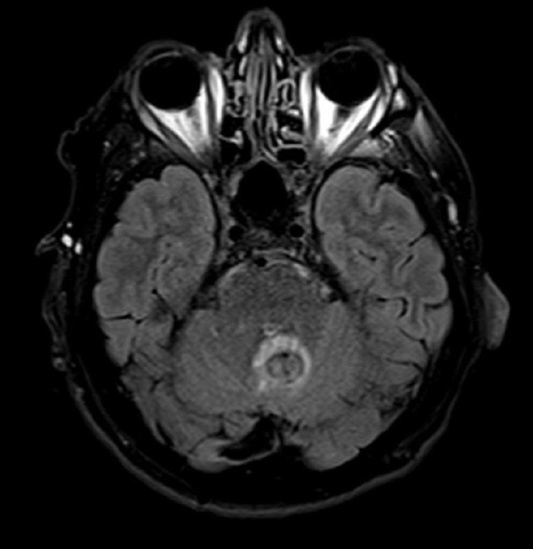
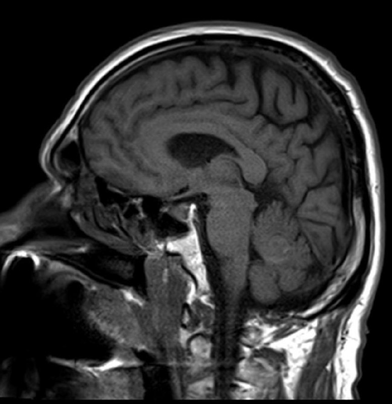
2 июл 2021
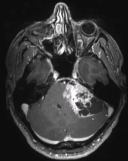
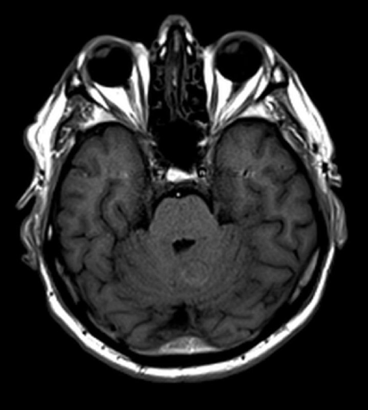
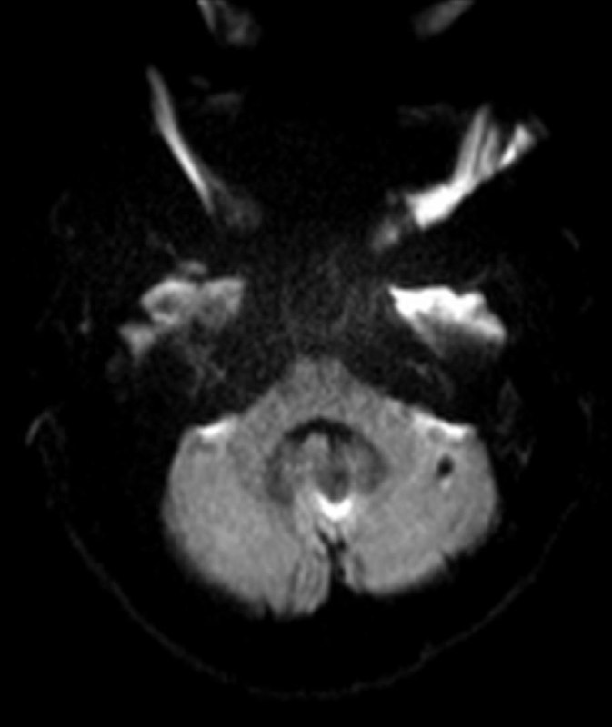
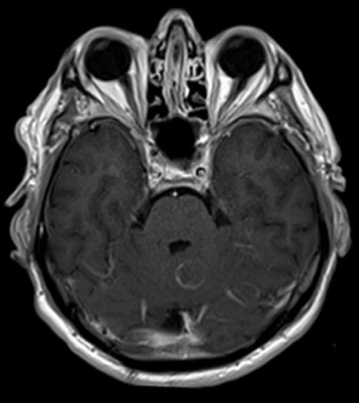
в декабре 2020 удалена менингиома, а теперь - вот так
2.0K views14:08
Подробнее
Поделиться:
Открыть/Комментировать
2 июл 2021
коллеги, а есть кто-нибудь из Калининграда?
550 viewsedited  14:04
Подробнее
Поделиться:
Открыть/Комментировать
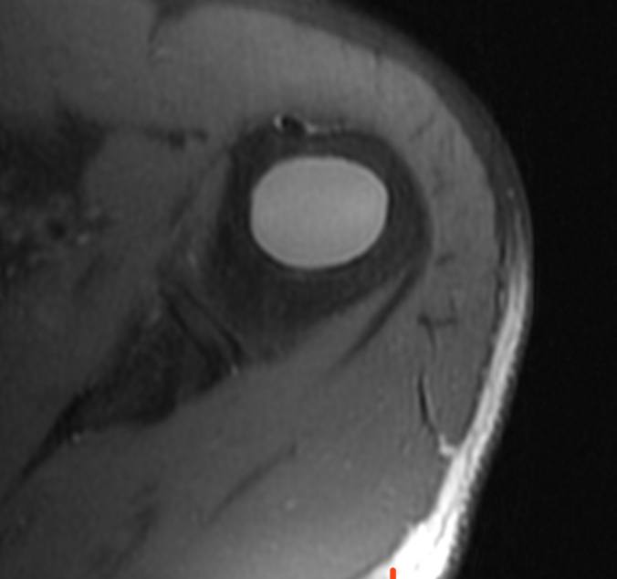
2 июл 2021
показательный случай острого (хорошо, свежего!) разрыва сухожилия длинной головки бицепса плеча, с приличным диастазом. стрелками указаны края дистального и проксимального фрагментов сухожилия. На последнем снимке - пустая межбугорковая борозда
2.0K views08:43
Подробнее
Поделиться:
Открыть/Комментировать
1 июл 2021
вот еще занимательные картинки, была уже здесь о подобных дискуссия :)
2.0K views19:08
Подробнее
Поделиться:
Открыть/Комментировать
30 июн 2021
704 views11:26
Подробнее
Поделиться:
Открыть/Комментировать
30 июн 2021
Кроме того, следует предположить неполное повреждение межостистой связки C4-C5
750 views09:48
Подробнее
Поделиться:
Открыть/Комментировать
30 июн 2021
Первый тип перелома зуба C2 и перелом боковой массы атланта справа. Тактика - консервативная.
1.9K viewsedited  09:47
Подробнее
Поделиться:
Открыть/Комментировать
30 июн 2021
5.5K views09:46
Подробнее
Поделиться:
Открыть/Комментировать
30 июн 2021
Характер травмы:
Упал с велосипеда головой вниз.
1.8K views09:43
Подробнее
Поделиться:
Открыть/Комментировать