Русская радиология - Цориев Андрей Эльдарович

Адрес канала: @russrad
Категории: Для взрослых 18+ , Жесть
Язык: Русский
Количество подписчиков: 11.79K
Описание канала:

Врач Андрей Эльдарович Цориев
⛔️Спам, политика, религия, флуд, троллинг, оскорбления = бан ⛔️
…мне можно…
нужна консультация - присылайте dicom в формате .zip
Фото экрана и другие обрезки не консультируем и стираем безжалостно

Рейтинги и Отзывы

1.50

2 отзыва

Оценить канал russrad и оставить отзыв — могут только зарегестрированные пользователи. Все отзывы проходят модерацию.

5 звезд

0

4 звезд

0

3 звезд

0

2 звезд

1

1 звезд

1


Последние сообщения 4

21 окт 2024
Красивенько...

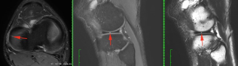
23 года, мужчина, 20 октября на матче что-то "щёлкнуло" в колене
2.3K views인간 人類, 18:34
Подробнее
Поделиться:
Открыть/Комментировать
21 окт 2024
Одно из самых паскудных проявлений злокачественной опухоли - перитонеальный карциноматоз.

Средняя выживаемость при нем по одним данным составляет от 2,3 до 9 месяцев, по другим - варьирует от 11 до 17 месяцев при первичной опухоли, и зависит от стадии первичной опухоли при вторичном (стадии 0-2 - 5-10 месяцев, стадии 3-4 - 2-3,9 месяцев). Расположение первичной опухоли также может влиять на показатели выживаемости: при колоректальной карциноме средняя продолжительность жизни составляет 6,9 месяцев. Средняя продолжительность жизни при опухоли желудка составляет 6,5 месяцев.

Девушка 72 лет с карциноматозом брюшины, известно, что была гистерэктомия, а при перитонеальном карциноматозе, вызванном раком эндометрия средняя продолжительность жизни не превышает 12 месяцев, хотя при проведении циторедуктивной хирургии в сочетании с гипертермической внутрибрюшинной терапии описывают случаи продолжительности жизни и до 3 лет (интересно, что саудиты такое опубликовали, можно ли верить? Хотя, французы опубликовали, что после такого лечения аж трое пациентов прожили 7, 23 и 39 месяцев).

А у вас в местечке проводят такую терапию?
2.4K views인간 人類, 10:36
Подробнее
Поделиться:
Открыть/Комментировать
20 окт 2024
Запрос:
Магнитно-резонансный конвейер для выполнения МРТ мошонки

Режим: Генерация по тексту
Стиль: Нет
Соотношение сторон: 1:1
Модель: Kandinsky 3.1
Негативный промпт: Нет
2.6K views인간 人類, 16:27
Подробнее
Поделиться:
Открыть/Комментировать
20 окт 2024
Обычный томограф рисует
2.4K views인간 人類, 16:27
Подробнее
Поделиться:
Открыть/Комментировать
20 окт 2024
КУРСЫ по МРТ
Расписание циклов "Русской радиологии" по МРТ

Цена участия - 64000
Контакты для записи и для прояснения любых деталей:

+79220235227
2.6K views인간 人類, 15:28
Подробнее
Поделиться:
Открыть/Комментировать
18 окт 2024
Музыка пятницы.

Норм для старичков: дип перпл-типа рок 2024 года, да и музыканты те самые...

А что в пятницу вечером слушаете вы?
3.0K views인간 人類, 17:55
Подробнее
Поделиться:
Открыть/Комментировать
17 окт 2024
Мы победили
4.0K views인간 人類, 10:57
Подробнее
Поделиться:
Открыть/Комментировать
17 окт 2024
Продолжаем диагностику по одной картинке.

Возраст 40 лет. Жалобы с прошлого воскресения - боли и хромает, травм/нагрузок не было.

Голосуем ниже
2.8K views인간 人類, 07:32
Подробнее
Поделиться:
Открыть/Комментировать
14 окт 2024
P.S. Уже не сомневаюсь.

Ибо поискал и нашел:

https://www.ncbi.nlm.nih.gov/pmc/articles/PMC7421716/
3.7K views인간 人類, 15:06
Подробнее
Поделиться:
Открыть/Комментировать
14 окт 2024
У пожилого мужчины после переохлаждения резко появилась задержка мочеиспускание, урологи утверждают, что у него – острый простатит. А на Магните – типичный рак, по крайней мере, PI-RADS 5.

Как считаете, может ли острый простатит выглядеть вот так? Асимметричный, с достаточно чётким контуром, да ещё и с быстрым накоплением контраста и быстрым же его вымыванием?

Что-то я сильно сомневаюсь, поделитесь опытом.
3.3K views인간 人類, 13:09
Подробнее
Поделиться:
Открыть/Комментировать
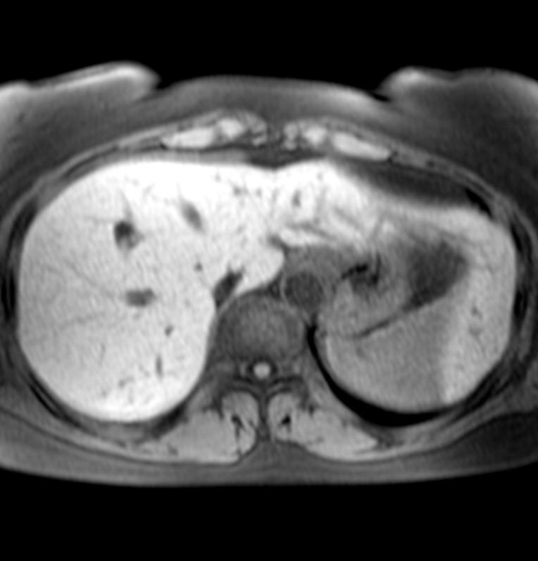
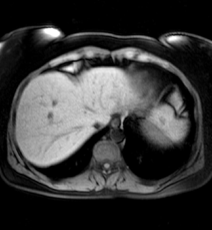
5 окт 2024
40 лет.

Думаю, что рак в хвосте панкреас, с вот такими метастазами в печень.

Ну, или и в панкреас тоже метастаз, хотя, других опухолей в животе не обнаруживается.
2.1K views인간 人類, 12:21
Подробнее
Поделиться:
Открыть/Комментировать
4 окт 2024
Проголосуем ниже, если в состоянии (пятница у многих не предполагает интеллектуальной деятельности, но нас с вами это же не касается…)
2.2K views인간 人類, 18:17
Подробнее
Поделиться:
Открыть/Комментировать
4 окт 2024
Музыка пятницы.

Method Man.

Clifford Smith

(Богдан Кузнецов)

А что слушаете Вы?
2.2K views인간 人類, 15:16
Подробнее
Поделиться:
Открыть/Комментировать
4 окт 2024
Расписание циклов "Русской радиологии" по МРТ

Цена участия - 64000
Контакты для записи и для прояснения любых деталей:

+79220235227

russian.radiology@yahoo.com
2.0K views인간 人類, 11:44
Подробнее
Поделиться:
Открыть/Комментировать
4 окт 2024
«Закон» парности случаев.

Бобр, курва!
2.3K views인간 人類, 09:14
Подробнее
Поделиться:
Открыть/Комментировать
19 сен 2024
Когда рак простаты видно вот так, как здесь - исследование не вызывает отвращения, в отличие от случаев, когда приходится писать PIRADS-3..

Другое дело, что мы ж о пациентах заботимся, а не о себе, любимых, и каждый PIRADS-3 для пациента, все же, лучше, чем легко и непринуждённо обнаруживаемый, как в данном случае, PIRADS-5.

Пожелаем этому мужчине 75 лет успехов в лечении и минимума неприятных ощущений, которыми, неизбежно, такое лечение сопровождается.

2.1K views인간 人類, edited  13:38
Подробнее
Поделиться:
Открыть/Комментировать
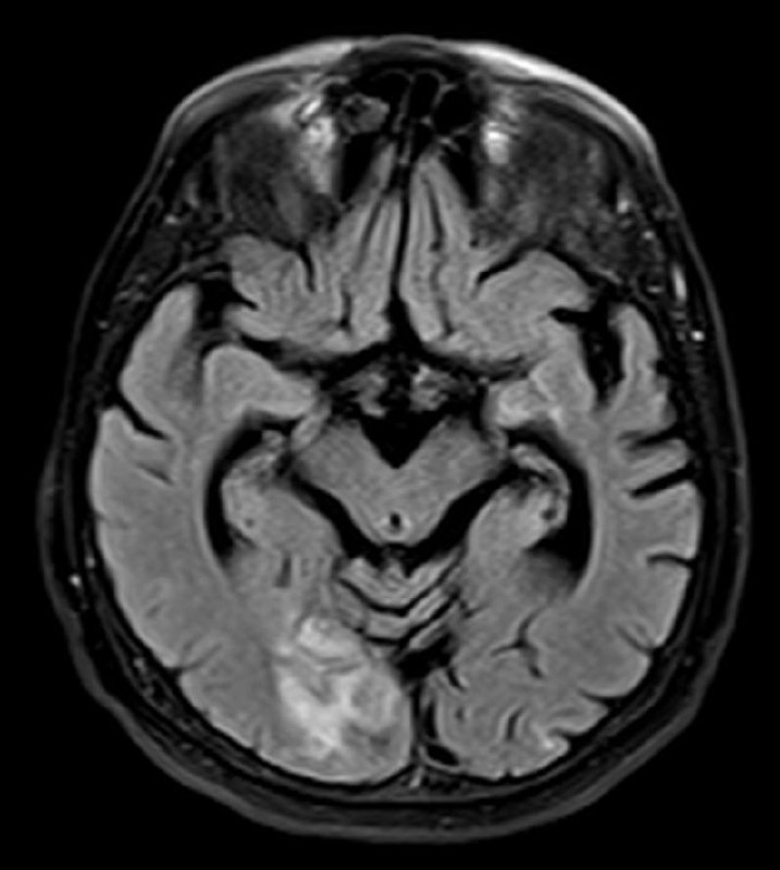
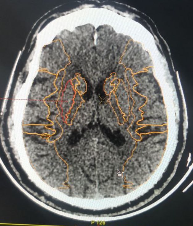
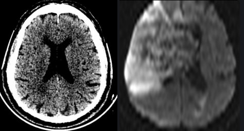
19 сен 2024
КТ на момент поступления и МРТ при ухудшении состояния через два дня.

Лаборант, по одной, ему лишь ведомой, причине, сделал МРТ фронтальными сканами, пришлось из фронтального сделать аксиальный, для лучшей сравнимости.

Интересно, что ИИ насчитал 9 баллов по ASPECTS, а глазом вообще ничего не видно было.

Тромболитическая терапия не проводилась из-за противопоказаний, через двое суток произошла спонтанная геморрагическая трансформация и инфаркт, как выяснилось, был не 9, а, скорее, 1 балл по ASPECTS.

Вот такие пироги...

Уже 27.09.2024 в рамках темы "Инсульт" на свежих курсах по КТ будем подробно разбирать эту тему с массой свежих примеров.

Кто ещё думает, участвовать или нет, думать хватит: пора оформлять заявку.
2.1K views인간 人類, 10:38
Подробнее
Поделиться:
Открыть/Комментировать
19 сен 2024
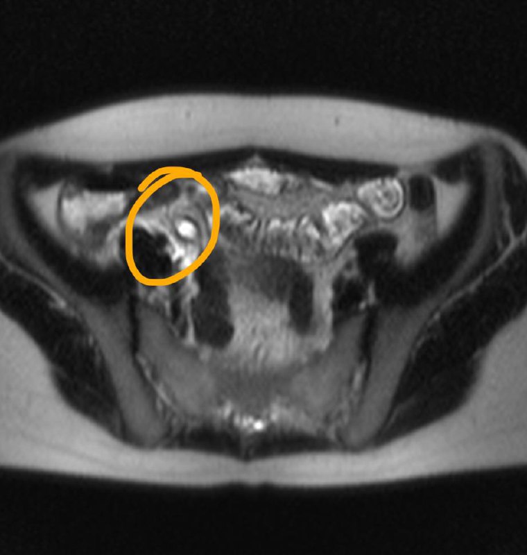
Рутина сегодняшнего дня. Дивертикулит сигмы, нагноение в полости дивертикула с уровнем гной/газ. Стрелка указывает на шейку дивертикула. Яичник прилежит снизу.

Прислали с вопросом: «это эндометриоз?»


А я Вас спрашиваю: Вы уже записались на свежие онлайн курсы по КТ
2.1K views인간 人類, 08:06
Подробнее
Поделиться:
Открыть/Комментировать
18 сен 2024
учеба: КТ МРТ

Дорогие друзья!

Публикуем программу и расписание аккредитационного цикла по компьютерной томографии в многопрофильной клинике.

Начало цикла - 23 сентября 2024 года.

Длительность - 1 месяц.

ТОЛЬКО ОНЛАЙН

По итогам цикла начисляется 144 балла НМО (ЗЕТ), то есть, это тот цикл, который достаточно пройти 1 раз в пять лет для продления аккредитации по рентгенологии.

Цикл не формальный, а реальное натаскивание с обилием свежих клинических примеров, группа, в которой будет проходить цикл здесь, в Телеграме, будет сохранена и участники будут всегда иметь возможность задать вопрос преподавателям, даже спустя годы после окончания цикла

Курсы по МРТ вот здесь

По всем вопросам обращаться к администратору Марии сюда, в Телеграм или по электронной почте

+79220235227

russian.radiology@yahoo.com
722 views인간 人類, 19:06
Подробнее
Поделиться:
Открыть/Комментировать
18 сен 2024
Курсы по КТ скоро начнутся.

Следующие будут дороже на 10,789%.

А лучше-то курсов нету
. Кто бы чо не говорил.
2.3K views인간 人類, 17:21
Подробнее
Поделиться:
Открыть/Комментировать
18 сен 2024
Проголосуем ниже
2.3K views인간 人類, 12:54
Подробнее
Поделиться:
Открыть/Комментировать
18 сен 2024
По опыту скажу: когда видишь вот такого, худющего пациента, с таким черным (особенно на Т1, хотя и на Т2, как правило, тоже) костным мозгом, да ещё и со спондилодисцитом, можно не сомневаться, что перед тобой - ВИЧ-инфицированный, и CD4-клеток у него уж точно меньше 150.

И, это, месячные онлайн курсы по КТ стартуют уже в понедельник.
2.3K views인간 人類, 08:56
Подробнее
Поделиться:
Открыть/Комментировать
17 сен 2024
В очередной раз пополнилась наша коллекция аппендицита у беременных. Несколько дней пациентку лечили от кишечной инфекции, пока не заподозрили что-то более серьезное.

Червеобразный отросток растянут, в просвете, наряду с вязкой жидкостью, то есть, гноем, есть ещё и копролиты
2.6K views인간 人類, 11:48
Подробнее
Поделиться:
Открыть/Комментировать
1 сен 2024
А еще всех знающих, не знающих, но узнающих, не устающих узнавать и знаниями делиться, юных, зрелых и престарелых, с Днём знаний поздравляю.

Учиться, учиться и учиться, и не важно, кто это завещал, важно завету этому следовать и не впадать в ересь всезнания и всеопытности!

Ваше здоровье
1.6K views인간 人類, 12:58
Подробнее
Поделиться:
Открыть/Комментировать
30 авг 2024
С наступившими выходными, коллеги.

Музыка пятницы – субботы. А что слушаете вы?

У нас - машинки!

2.1K views인간 人類, 19:54
Подробнее
Поделиться:
Открыть/Комментировать
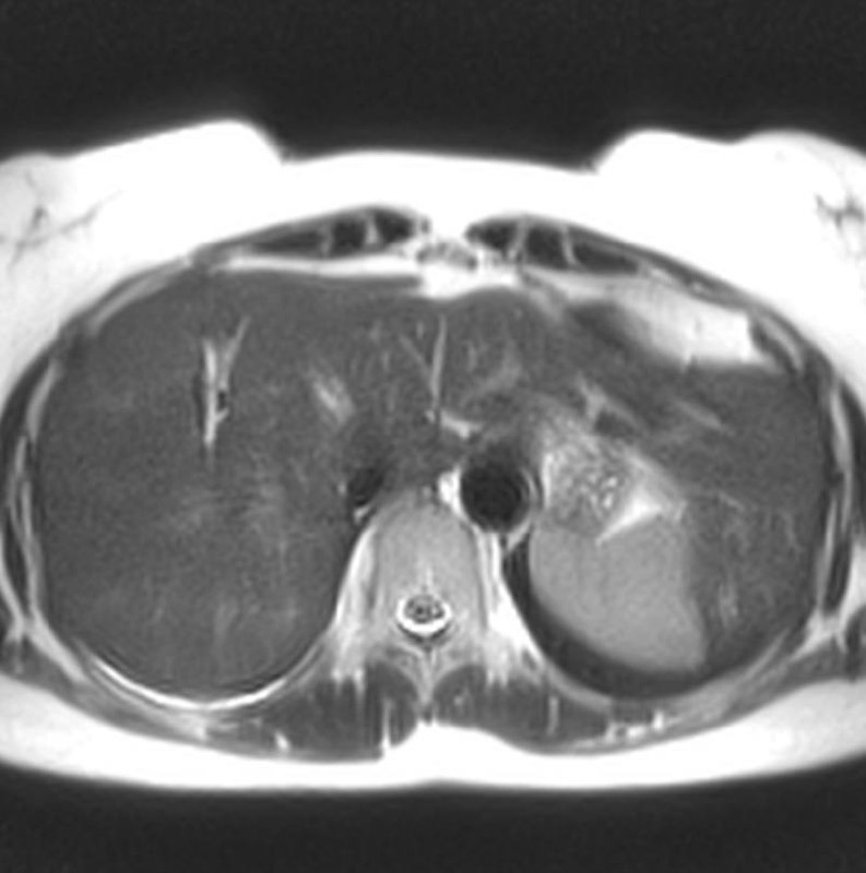
30 авг 2024
Жизнь все подкидывает и подкидывает редкости для семинара: второй раз в жизни (снимки первого утеряны в веках) вижу удвоение жёлчного пузыря!

Y-образный, на сей раз. Общий пузырный проток и он один, на кино (первый комментарий к этой публикации) указываю на него и место его впадения в общий печёночный стрелкой.

Самое интересное, что это, как и камни в нем, случайная находка без клинических проявлений (готовилась к операции по поводу пупочной грыжи, камни обнаружили до кучи, как и вычурный пузырь.

Напоминаю, что через чуть больше недели состоится вторая серия сериала по протокам (МРХПГ), разберем штук 8-10 крайне интересных случаев и вновь поговорим о методике, показаниях, ошибках и артефактах.

Запись на сериал - вот здесь
2.3K views인간 人類, 10:32
Подробнее
Поделиться:
Открыть/Комментировать
29 авг 2024
Чуть не офигел от количества набранных баллов, причем, я не специально

А как у Вас с этим дела обстоят?

и какие из такого количества баллом проистекают блага, если проистекают?

Поделитесь опытом.
2.6K views인간 人類, 15:45
Подробнее
Поделиться:
Открыть/Комментировать
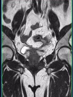
29 авг 2024
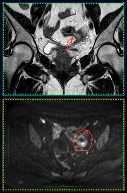
Всем привет!
А вот для чего иногда нужен контраст на МРТ предстательной железы: по DWI, а она является основной последовательностью для оценки периферической зоны, типичные изменения ПИРАЦ-4 (наибольший размер - 12 мм), но вот на Т2 - жидкость, а не серость, и на постконтрастных накопления контраста нет вообще. Так что, это - абсцесс, а не рак.

Соблюдайте протокол и не будете разочарованы.


Напоминаю, что запись на семинар по протокам (желчным и поджелудочным) продолжается, подробности вот здесь
2.7K views인간 人類, 12:32
Подробнее
Поделиться:
Открыть/Комментировать
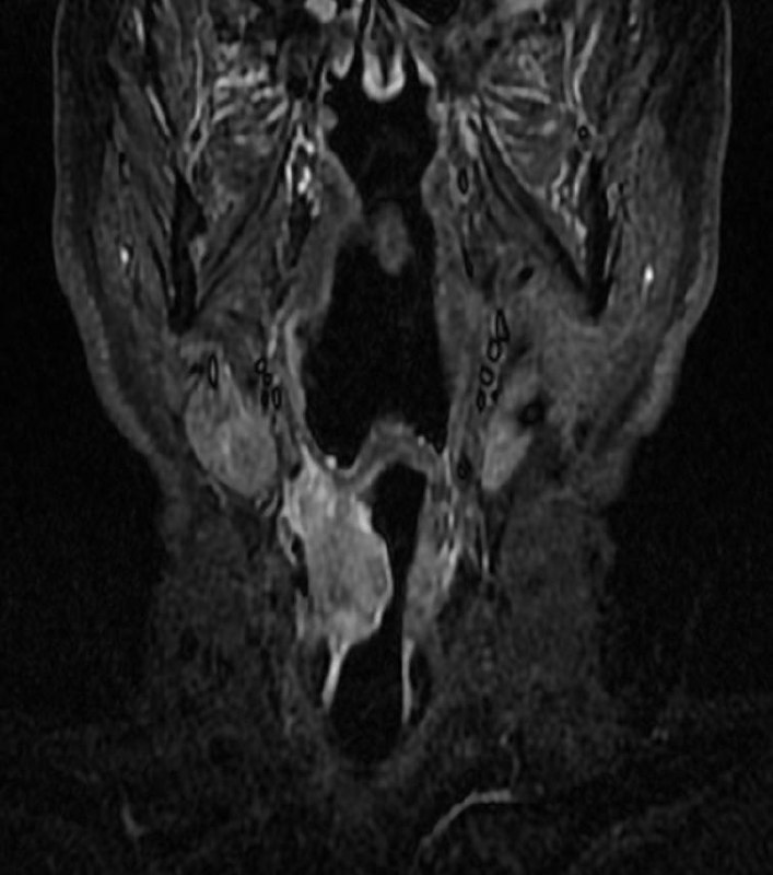
28 авг 2024
Больной 70 лет.
Выраженная осиплость голоса в течение полугода.
ЛОР-врачи ставят ларингит.
Делали биопсию: вот результат.

И какое здесь Т?
3.0K views인간 人類, 17:49
Подробнее
Поделиться:
Открыть/Комментировать
28 авг 2024
Такие разные, но, все-таки, называются одним словом.

Каким?

А можно даже так: одинаковыми словами. Какими?
2.7K views인간 人類, 09:16
Подробнее
Поделиться:
Открыть/Комментировать